
その横顔、「歯並びの問題」だと 思っていませんか?
― 札幌の骨格矯正 SmarteeGS
抜歯と言われた方へ
“他の考え方”があるかもしれません
一度、整理してみませんか

Patient Voice
こんなお悩み、ありませんか?

「医院によって説明が違う」

「抜歯が必要と言われたのに、別の医院では不要と言われた」

「何が正しい治療なのか もう、わからない」
「どこに行っても答えが変わる」ことに、不安を感じていませんか?
Why It Happens
③ なぜ納得できないのか
(不信感の正体)
なぜ、説明を受けても
納得できなかったのか?
それは、
説明がバラバラだからではありません。
本当の理由は、
「前提となる見方」が揃っていないからです。
・歯並びを中心に考えるのか
・見た目を優先するのか
・噛み合わせを重視するのか
前提が違えば、
同じ状態でも説明は変わります。
Why Different Answers?
なぜ、答えが違うのか?
見ている基準が違うから

歯並び
歯の位置・向き・隙間を基準にする

噛み合わせ
上下の歯の接触・バランスを基準にする

顎の位置
顎関節・骨格の位置関係を基準にする
横顔の印象を根本から決める
最重要基準
どこを基準にするかで、
導き出される治療の答えは変わります。
だから、
構造で整理する必要があります
実際、多くの診断では
"顎の位置"まで見ていません
そのため、
本当の原因が曖昧なまま、
医院ごとに違う説明を受けることになります
The Key Insight
横顔を決めるのは
"顎の位置"

顎が後退すると、横顔が変わる
顎の骨格的な位置が後退することで、口元が前に出た印象になり、Eラインが崩れます。 歯並びを整えても、根本の顎位置が変わらなければ横顔は変わりません。
骨格から整えることが本質
SmarteeGSは顎を正しい位置に誘導する装置です。 顎の位置から変えることで、自然な横顔バランスを回復させます。
数値で分析、根拠ある診断
セファロ(頭部X線規格写真)で顎の位置を精密に計測。 感覚ではなく、数値に基づいた診断を行います。
The Solution
顎の位置まで変える矯正治療

顎の位置が重要であっても、
従来の矯正ではそこまで踏み込めないケースが多くありました。
SmarteeGSは、
顎の位置から設計することで、
横顔そのものを整える矯正治療です。
歯並びだけでなく、骨格バランスまで考慮した治療設計


← Drag to Compare →
How It Works
なぜ、顎の位置まで
変えられるのか?
STEP 1
顎位再建(フェーズ1)
アライナーと補助装置を組み合わせ、顎を正しい位置へと誘導します。日常生活の中で持続的に作用させることで、骨格レベルから変化を促します。

STEP 2
骨格バランスの調整
上下顎の位置関係を最適化し、横顔のラインを自然な形に整えます。

STEP 3
咬合再建(フェーズ2)
歯並びと噛み合わせを精密に調整し、機能と見た目を両立させます。

STEP 4
安定化
後戻りを防ぐ設計で仕上げ、長期的な顔貌バランスを維持します。

日本では、まだ限られた医療機関のみが扱える治療です
SmarteeGSは、世界的には実績のある治療法ですが、
日本では導入している医療機関はまだ多くありません。
当院では、導入初期から継続して臨床に取り組み、
症例の蓄積と技術の最適化を行ってきました。

歯科医師 谷口正昭
Comparison
これまでの治療との違い
歯並びのみ改善① 抜歯 ワイヤー矯正
- 歯並びを整える治療
- →顎の位置は変わらない
手術あり② 外科矯正
- 顎の位置を大きく変える治療
- →外科手術が必要(手術リスク・高額)
非外科・横顔改善③ SmarteeGS
- 顎の位置から整える非外科矯正
- →見た目と四み合わせを同時に改善し、横顔まで変化
顎の位置に原因がある場合、
歯並びだけ整えても、本質的な改善にはつながりません。

Cephalometric Analysis
歯並びではなく、
"顎の位置"を
見ています
見た目の違和感は、骨格のズレから始まります
多くの矯正治療が「歯の位置」だけを調整するのに対し、当院は顎骨格のズレをセファロ分析で精密に把握してから治療計画を立てます。
Structural Improvement
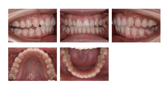
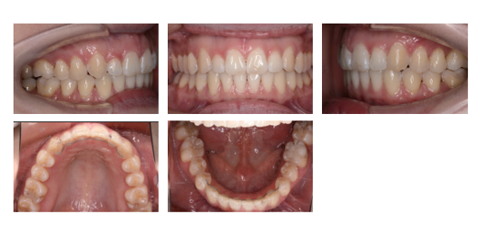
実際に、ここまで改善しています
見た目だけでなく、構造も改善しています

Before / After
横顔は、ここまで変わります
変わるのは、歯並びだけではありません


← スライダーを動かして比較
※ 個人の治療結果であり、全ての方に同様の結果を保証するものではありません。
※歯並びだけでなく、骨格バランスの改善による変化です
Which Type Are You?
あなたはどちらを重視しますか?
矯正治療は「目的」によって選ぶべき方法が変わります
歯並びではなく、顔全体のバランスが変わります
無料診断を受けてみる
所要時間:約60分|完全無料|
Honest Information
知っておいていただきたいこと
どんな治療にもメリット・デメリットがあります。
だからこそ、正しく理解した上で選択することが大切です。
装置の違和感について
装着初期は発音や食事に慣れが必要な場合があります。通常1〜2週間で慣れる方が多いです。
装着時間の制約
効果を出すためには1日一定時間の装着が必要です。生活スタイルに合わせた計画を一緒に立てます。
一時的な変化の可能性
治療初期は噛み合わせの微調整期間があります。経過とともに安定していきます。
Our Difference
多くの矯正は
"1つの方法"しか
提示されません
当法人のSmarteeGS治療では、あなたの骨格データを基に
最適な複数の選択肢を提示します。
Free Consultation
“自分に合う治療”を、曖昧なままにしていませんか?
多くの方が、
「なんとなく」で治療方法を選んでしまっています。
無料診断では、あなたの骨格データをもとに、
最適な治療方針を“見える形”でご提案します。
矯正比較レポート
あなたに最適な治療法が、
一目で分かる
複数の矯正方法を同一条件で比較し、
あなた専用の診断レポートを作成します
精密シミュレーション
噛み合わせまで設計された、精密シミュレーション
完成形を事前に確認できるから、安心して治療を選べます

抜歯・非抜歯の分岐診断
抜歯が本当に必要か、構造から判断
骨格データをもとに「なんとなく」を「理解」に変える
※すべて無料でご提供します
アクセス
場所:大通駅直結 moyuk SAPPORO 2F


